
prótese dentária fixa | perguntas frequentes | acordos | casos clínicos
A Clínica São Filinto conta com uma equipa de médicos dentistas experientes na colocação de próteses dentárias fixas, que estão sempre disponíveis para esclarecer as suas dúvidas e apenas recorrem a materiais de reconhecida qualidade.
Contacte-nos e marque a sua visita à nossa clínica, para avaliarmos o seu problema e lhe darmos a conhecer as melhores soluções em termos de próteses dentárias fixas que a nossa clínica tem para o seu caso.
|
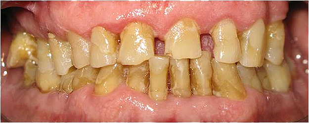
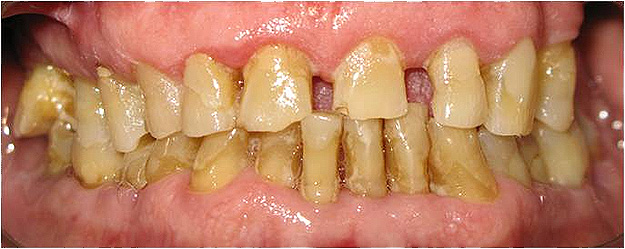
Antes do tratamento com prótese dentária fixa |
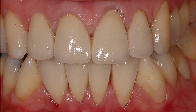
Depois do tratamento com prótese dentária fixa com coroas cerâmicas. |
Uma prótese dentária fixa é um dispositivo médico que é utilizado com o objetivo de substituir os dentes naturais perdidos ou danificados, devolvendo aos pacientes a função natural dos dentes e estética.
O tratamento com recurso a próteses dentárias fixas consiste em “recuperar” os dentes perdidos, de forma, a que essa “recuperação” seja praticamente impercetível.
Atualmente, existem soluções através do recurso a próteses fixas e a próteses removíveis.
Voltar às Faqs | Voltar ao topo
Com a perda dentária ocorrem, não só, importantes alterações funcionais, como também, estruturais:
|
Os dentes podem ser afetados por lesões, desde a simples perda de substância dentária, até à sua perda total, quase sempre acompanhada da perda de tecidos periodontais (osso, gengiva e ligamento).
No caso da perda de substância dentária o tratamento passa pela restauração da peça dentária por uma obturação, incrustação ou coroa, cujo objetivo é restituir ao dente a sua anatomia, a sua estética e a sua funcionalidade.
No caso de haver perda de dentes e dos tecidos periodontais, o objetivo do tratamento consiste em “recuperar” os dentes perdidos de tal modo que essa “recuperação” seja praticamente impercetível.
Na Clínica São Filinto, a recuperação é feita recorrendo a uma prótese dentária fixa, ou seja, substitutos artificiais de um ou mais dentes e tecidos associados.
Tal como na restauração dentária ideal, que passa despercebida porque restitui a estética, a anatomia e a função do tecido dentário perdido, também a prótese fixa ideal deve ser impercetível.
A estética, a anatomia e as funções dos dentes e tecidos perdidos devem ser, tanto quanto possível, recuperados pela prótese dentária que os substitui.
O objetivo principal do tratamento protético é conferir à prótese dentária fixa um aspeto mais próximo do natural.
Um tratamento protético perfeito é quando um dente perdido é substituído “imediatamente” por um implante dentário (substituto artificial da raiz), que suporta uma coroa dentária artificial com características estéticas, anatómicas e funcionais muito parecidas ao dente perdido.
A colocação “imediata” do implante dentário vai “impedir” a reabsorção do osso alveolar e a cicatrização gengival, isto é, vai preservar os tecidos periodontais.
Por outro lado, se o paciente só recorre à substituição dos seus dentes quando já tem alterações estéticas muito evidentes, quando sente que já não mastiga adequadamente os alimentos ou apresenta outra alteração (e. g.: fonética, oclusal) que perturbam o seu bem-estar, a recuperação da estética, da anatomia e da função anteriores vai ser muito mais difícil ou, em certas casos, impossível (e. g.: a capacidade mastigatória fica definitivamente diminuída).
O tratamento com recurso à colocação de próteses dentárias fixas, evita as alterações no equilíbrio e na saúde do sistema estomatognatico, exceto, as alterações inevitáveis e inerentes ao processo do envelhecimento.
Voltar às Faqs | Voltar ao topo
Hoje em dia, existem vários tipos de opções para a reabilitação oral do paciente: as próteses fixas e as próteses removíveis.
![]() |
![]() |
As próteses fixas possuem várias vantagens, podendo ser efetuadas sobre o dente ou sobre o implante, com coroas unitárias ou ponte. As próteses fixas têm como principal objetivo reproduzir a dentição natural do indivíduo, com excelência na estética, resistência e durabilidade dos dentes danificados ou perdidos.
Voltar às Faqs | Voltar ao topo
4. Os dentes para prótese fixa são talhados e cimentam-se coroas provisórias para proteção
dos cotos e remodelação gengival adequada;
5. São feitas impressões e enviadas para o nosso laboratório, que fará as coroas em
cerâmica ou zircónio, para uma estética e função elevadas;
6. As coroas são cimentadas, definitivamente, nos dentes preparados ;
7. São dadas instruções para a sua higienização e manutenção.
O paciente, durante as consultas, utiliza uma prótese fixa provisória, que permite comer, falar e sorrir, satisfatoriamente, durante este período.
Aconselha-se as consultas de rotina de 6 em 6 meses.
Voltar às Faqs | Voltar ao topo
As coroas utilizadas nas próteses dentárias fixas são fabricadas em metal, cerâmico, metalocerâmico, zircónio, zircónio-cerâmico ou metaloacrílico, para uma estética e função elevadas.
Voltar às Faqs | Voltar ao topo
Para garantir a longevidade das próteses dentárias fixas são necessários cuidados rigorosos com a higiene oral e a visita regular aos nossos médicos dentistas.
![]() |
![]() |
![]() |
Voltar às Faqs | Voltar ao topo
A colocação de uma prótese fixa, com uma ou mais coroas dentárias, estão indicadas nas seguintes situações:
Voltar às Faqs | Voltar ao topo
Aconselha-se as consultas de rotina de 6 em 6 meses, para que se façam controles periódicos, se verifiquem as gengivas e se façam os ajustes oclusais.
A necessidade de substituição das próteses fixas depende, em muito, dos cuidados tidos pelo paciente e das consultas regulares. A prevenção é o melhor método para a longevidade da prótese dentária fixa.
Voltar às Faqs | Voltar ao topo
Partir uma prótese dentária não significa, necessáriamente, a colocação de uma prótese nova.
Uma prótese dentária fixa ou removível, dependendo da gravidade da fratura, poderá ser reparada. Os consertos das próteses dentárias são mais baratos e, relativamente, rápidos de efetuar.
Voltar às Faqs | Voltar ao topo
A Clínica São Filinto tem os seguintes acordos para a reabilitação oral com próteses dentárias fixas e removíveis:
• SAÚDE GLOBAL
• MEDICARE CAIXA GERAL DE DEPÓSITOS
• SAMS QUADROS
• SAMS SIB
Voltar às Faqs | Voltar ao topo
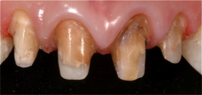
Antes da prótese dentária fixaCaso de paciente com desgaste oclusal severo devido ao bruxismo (ranger os dentes). |
Depois da prótese dentária fixaFoi realizada uma reabilitação com coroas cerâmicas individuais e uso de goteira de relaxamento muscular durante a noite. |
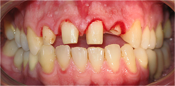
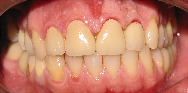
Antes da prótese dentária fixa |
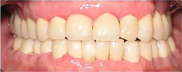
Depois da prótese dentária fixa |
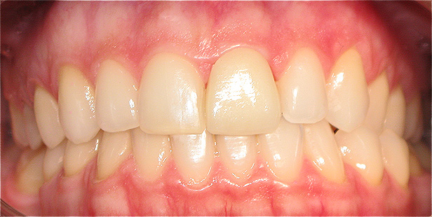
Antes da prótese dentária fixa |
Depois da prótese dentária fixa |
Antes da prótese dentária fixa |
Depois da prótese dentária fixa |
Costa de Caparica: 212 900 174 / 212 911 063 / 914 589 032
Sobreda da Caparica: 212 954 064
Email: saofilinto@hotmail.com
Clínica São Filinto – Reabilitação Oral Somos especialistas em recuperar o sorriso e (...)
saber maisSe vive no estrangeiro e procura dentistas em Portugal, chegou ao local certo!
saber maisO tratamento com recurso a próteses dentárias fixas recupera os seus dentes perdidos, de forma praticamente impercetível.
saber mais