
implante dentário | vídeo explicativo da Neodent | perguntas frequentes | casos clínicos
![]() |
![]() |
![]() |
A Clínica São Filinto conta com uma equipa de médicos dentistas que são experientes na colocação de implantes dentários recorrendo a técnicas avançadas, e que estão sempre disponíveis para esclarecer as suas dúvidas.
Contacte-nos e marque a sua visita à nossa clínica, para avaliarmos o seu problema e lhe darmos a conhecer as melhores soluções em termos de implantes dentários que a nossa clínica tem para o seu caso.
Resultado de colocação de implante dentário na Clínica São Filinto
|
|
![]() |
![]() |
A colocação de implantes dentários de titânio é, atualmente, a melhor forma de substituir os dentes ausentes, pois não só lhe devolve a estética dentária perdida, como também a sua função mastigatória.
Após diagnósticado o seu caso clínico, em função das suas condições e características, é planeado todo o tratamento que envolve a colocação do implante dentário, e posteriormente, a prótese dentária fixa (coroa).
A utilização de novos materiais nas coroas implanto-suportadas, como o zircónio, e as novas técnicas laboratoriais avançadas, em conjunto com a utilização de softwares especializados na construção das coroas dentárias, aumenta ainda mais a estética dentária porque confere ao dente um aspeto muito natural.
Sempre que possível, os implantes dentários são o tratamento de eleição para reabilitar os dentes perdidos.
Vídeo da empresa Neodent sobre implantologia
Um implante dentário é uma raiz artificial, na maioria das vezes de titânio, tendo uma forma cónica ou cilíndrica, que é utilizada para substituição dos dentes perdidos.
O implante dentário é enroscado ou impactado no osso, onde será posteriormente ósseo-integrado, servindo de pilar para colocação das coroas dos dentes ausentes.
Voltar às Faqs | Voltar ao topo
O custo de um implante dentário pode variar consoante os materiais utilizados para as coroas, sendo que uns materiais são mais acessíveis economicamente do que outros. Assim, nos implantes dentários, o preço varia essencialmente pela composição e qualidade da coroa, que pode ser de diferentes materiais.
Na nossa clínica dispomos de várias soluções de preço para a coroa do seu implante dentário, e aconselhamos na sua escolha, que pode variar consoante o material utilizado.
As nossas soluções utilizam os seguintes materiais:
Voltar às Faqs | Voltar ao topo
![]() |
![]() |
O implante dentário é colocado no osso, através de uma pequena incisão na gengiva. É utilizada anestesia local, para que não sinta dor nem desconforto durante a cirurgia.
A cirurgia para colocação de implantes dentários é realizada por uma equipa multidisciplinar de médicos e enfermeiros, no consultório de medicina dentária da nossa clínica.
São realizados exames complementares de diagnóstico, nomeadamente radiografia panorâmica dos maxilares (ortopantomografia) e TAC (tomografia axial computorizada) - quando necessário -, por forma a selecionarmos quais os melhores implantes dentários a utilizar. A escolha da melhor solução para um implante dentário depende, essencialmente, da qualidade e da quantidade de osso disponível.
Voltar às Faqs | Voltar ao topo
Para a correta colocação do implante dentário é necessário haver osso, e é sabido que a reabsorção óssea começa imediatamente após a perda dentária e continua ativa durante toda a vida.
No entanto, existem muitas pessoas que não têm osso pois perderam os dentes há muito tempo. Neste tipo de casos clínicos, para colocar um implante, poderão ser necessários enxertos ósseos do próprio ou enxertos ósseos artificiais, associados, por vezes, a técnicas de regeneração óssea guiada, para que se reunam as condições para a correta colocação do implante dentário.
Atualmente, existem também implantes dentários mais curtos e de maior diâmetro, para localizações com pouca altura óssea, e também novas técnicas, mais conservadoras, para a elevação dos seios maxilares nas regiões edentulas posteriores do maxilar superior, para permitir um tratamento mais simples e confortável.
Voltar às Faqs | Voltar ao topo
O paciente é observado numa primeira consulta, onde será feita a história clínica e o diagnóstico. Para auxílio no diagnóstico e no plano de tratamento, são feitas:
É elaborado um plano de tratamento, o qual é explicado e discutido com o paciente, previamente ao consentimento autorizado, onde consta o diagnóstico, plano de tratamento e respetivo preço.
A cirurgia é feita na Clínica São Filinto, pela nossa equipa de médicos e enfermeiros, sob anestesia local, e quando necessário, sedação consciente. Alguns casos são efetuados sob anestesia geral, e em meio hospitalar.
Em determinadas situações, podem ainda ser colocadas coroas provisórias nos implantes dentários, no dia da cirurgia.
Após o período de ósseo-integração dos implantes (integração dos implantes no osso)e cicatrização/remodelação da gengiva:
Terminado o tratamento, aconselha-se as consultas de rotina de 6 em 6 meses e alguns cuidados de higienização/manutenção.
O pagamento do tratamento é feito da seguinte forma: 50% na primeira fase e 50% na segunda fase do tratamento. Ou outras formas de pagamento acordadas.
Voltar às Faqs | Voltar ao topo
A taxa de rejeição de um implante dentário é mínima já que o titânio é considerado um material biocompatível, portanto, aceite pelo nosso organismo. O osso une-se ao implante dentário formando uma base sólida que serve de suporte à prótese dentária fixa (coroa implanto-suportada).
Voltar às Faqs | Voltar ao topo
A cirurgia para colocação de implantes dentários é realizada em condições de assépsia e esterilização, exatamente iguais às existentes em qualquer outra cirurgia, com o objetivo de diminuir, entre outros, o risco de edema (inchaço), dor e infeção pós-operatória. Dependendo da situação e do número de implantes realizados, poderá sentir algum desconforto e edema, que são, rotineiramente, controlados com medicação, prescrita pelo médico no dia da colocação do implante dentário.
Voltar às Faqs | Voltar ao topo
Os cuidados pós-operatórios após a colocação de um implante dentário são semelhantes aos cuidados de qualquer cirurgia oral, como por exemplo a extração de um dente do siso incluso . Estes cuidados são importantes para minimizar o risco de complicações e desconforto, ou até mesmo dor, após a colocação do implante dentário. Aconselhamos assim o seguinte:
Voltar às Faqs | Voltar ao topo
Os implantes dentários são, hoje em dia, e sempre que possível, a melhor forma de substituir os dentes perdidos, até mesmo nos pacientes desdentados totais que no passado tinham de, obrigatoriamente, usar uma prótese acrílica.
Destacamos, entre as muitas vantagens de um implante dentário, as seguintes:
Voltar às Faqs | Voltar ao topo
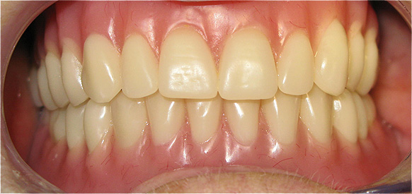
Caso 1 - Implante imediato após extração do dente fraturado (dente 11) e implante imediato
![]() |
![]() |
![]() |
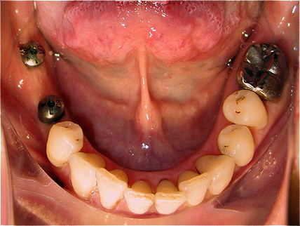
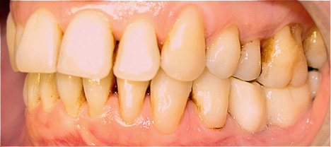
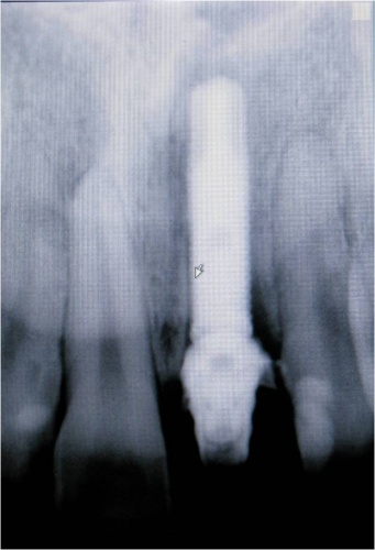
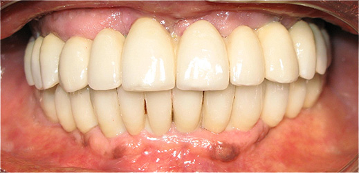
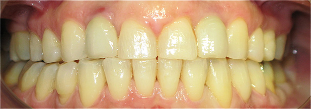
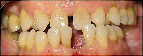
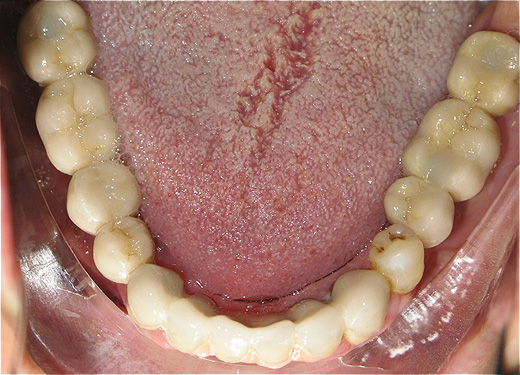
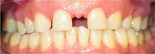
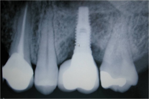
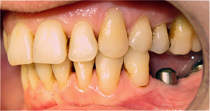
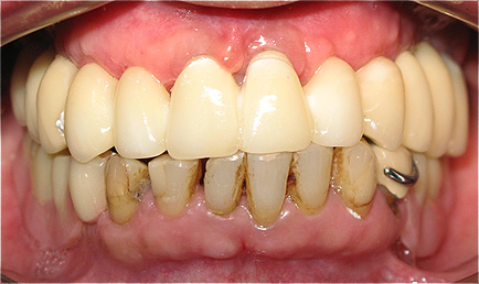
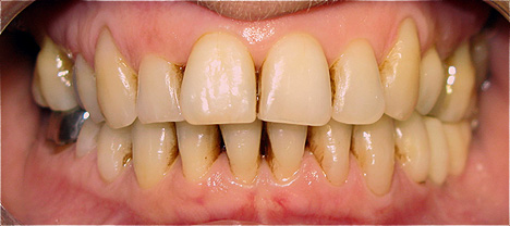
Caso 2 - Implante dentário para o dente 31
![]() |
![]() |
![]() |
Caso 3 - Desdentado total reabilitado com prótese acrílica removível inferior, barra e clips para retenção e estabilidade
![]() |
![]() |
![]() |
![]() ![]() |
||
Caso 4 - Agenesia dos incisivos laterais superiores - tratamento ortodôntico para encerramento de diastema e implantes
![]() |
![]() |
![]() |
![]() |
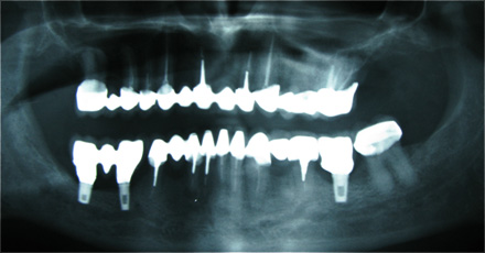
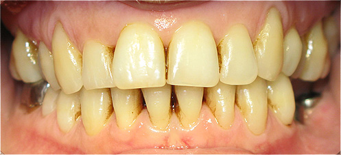
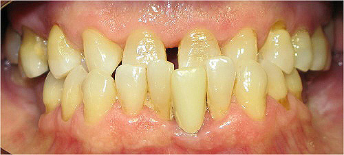
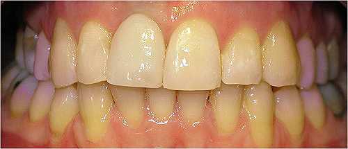
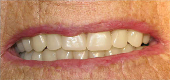
Caso 5 - Colocação de implantes dentários e reabilitação com pontes em zircónio cerâmica para reabilitação dos dentes ausentes do 3º e 4º quadrantes.
![]() |
![]() |
![]() |
![]() |
Caso 6 - Colocação de implantes dentários para reabilitação de desdentado total com prótese fixa em zircónio cerâmica.
![]() |
![]() |
![]() |
![]() |
Caso 7 - Colocação de implantes dentários de desdentado total superior para reabilitação com prótese metaloacrílica (alternativa à prótese em zircónio cerâmica)
![]() |
![]() |
![]() |
Caso 8 - Colocação de implantes dentários para reabilitação com prótese fixa em zircónio cerâmica no 4º quadrante.
![]() |
![]() |
![]() |
![]() |
![]() |
![]() |
Costa de Caparica: 212 900 174 / 212 911 063 / 914 589 032
Sobreda da Caparica: 212 954 064
Email: saofilinto@hotmail.com
Ortodontia - Clínica São FilintoVeja como um aparelho dentário devolve saúde e (...)
saber maisO tratamento com recurso a próteses dentárias fixas recupera os seus dentes perdidos, de forma praticamente impercetível.
saber maisClínica São Filinto – Reabilitação Oral Somos especialistas em recuperar o sorriso e (...)
saber mais