
ortodontia | perguntas frequentes | acordos seguradoras | casos clínicos
Na Clínica São Filinto tem uma equipa de médicos dentistas que são especializados na correção do seu sorriso, recorrendo a técnicas avançadas de ortodontia.
Contacte-nos e marque a sua visita à nossa clínica, para avaliarmos o seu problema e lhe darmos a conhecer as melhores soluções em termos de tratamentos ortodônticos que a nossa clínica tem para o seu caso. Estamos disponíveis para quaisquer informações.
Ter os dentes alinhados e bonitos é, cada vez mais, uma das preocupações das pessoas. Embora esse seja um dos objetivos do tratamento de ortodontia, usar aparelho dentário com o intuito de alinhar os dentes, não é o único objetivo da ortodontia. Na realidade, colocar um aparelho dentário para alinhar os seus dentes trará, além de uma função estética, inúmeras vantagens à saúde:
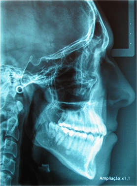
Numa primeira consulta, são recolhidas informações junto do paciente que, juntamente com fotografias, modelos de estudo e radiografias (ortopantomografia e telerradiografia), serão rigorosamente analisados, de forma a proporcionarem uma boa base para a elaboração de um plano de tratamento ortodôntico e colocação do aparelho dentário para o seu caso (poderão ser necessários outros exames clínicos adicionais).
Nesse plano de tratamento ortodôntico, além de decidirmos qual o tipo de mecânica mais adequado, é também definida a duração do tratamento, são discutidos honorários e são recomendados os cuidados especiais a ter com higiene oral.
Ortodontia é a especialidade da Medicina Dentária que corrige a posição e alinhamento dos dentes e corrige a posição dos dois maxilares, dando a posição correta aos maxilares, melhorando a saúde das articulações temporomandibulares não esquecendo a face e o perfil estético do paciente.
Os dentes tortos, apinhados ou sobrepostos dificultam uma adequada higiene oral e uma correta função mastigatória. Para tratar ou prevenir estes problemas, a Ortodontia elabora tratamentos adequados caso a caso, e pelos quais a colocação de um aparelho dentário vai ser decisiva para melhorar a qualidade de vida do paciente.
Assim, o tratamento ortodôntico é o ideal para corrigir problemas dentários e esqueléticos (quando ainda em fase de crescimento) independentemente da idade do paciente, ou da situação. Pode ainda ser importante para auxiliar outras reabilitações dentárias mais complexas, nomeadamente em pacientes que recorrem à colocação de implantes, ou com indicação para prótese fixa (coroas e pontes), como mostra o caso em baixo.
![]() |
![]() |
Voltar às Faqs | Voltar ao topo
A primeira consulta de Ortodontia consiste em perceber o principal motivo ou razão do paciente procurar o tratamento ortodôntico. É importante perceber se existe indicação para o tratamento e também quais as expetativas do paciente em relação a esse tratamento. Saber o motivo da consulta é muito importante para as fases que se seguem.
É da associação da cefalometria com os restantes estudos já mencionados que nasce um diagnóstico e plano de tratamento ortodôntico.
Na Ortodontia, os exames e os estudos são indispensáveis para um correto diagnóstico, para a elaboração de um plano de tratamento adequado e colocação do aparelho dentário no paciente.
É recomendado que se façam, de 3 em 3 meses, destartarizações e fotografias para controlo do tratamento.
Voltar às Faqs | Voltar ao topo
Após a análise do estudo é possível ter uma previsão do resultado final e duração do tratamento. O uso de aparelho dentário pode variar entre os 12 meses nos casos mais simples, a 36 meses nos casos mais complexos.
Voltar às Faqs | Voltar ao topo
Existem três tipos aparelhos dentários fixos: os metálicos, os estéticos mas ainda com braquetes, neste caso da cor dos dentes (resina composta, cerâmica e safira) e os Alinhadores dentários, chamados invisíveis. São moldeiras de um material próprio, para uso contínuo, apenas são retirados para a alimentação. Todos estes tipos de aparelhos corrigem os dentes e os próprios maxilares, movimentando-os e colocando-os na posição pretendida.
O aparelho dentário fixo, tal como o nome indica, é fixado nos dentes, através de braquetes. Geralmente, este tipo de aparelho só se retira após estar concluído o tratamento definido pelo ortodontista.
O uso de um aparelho dentário fixo, mais pequeno e confortável, com braquetes de baixo perfil, permite-nos fazer o tratamento de Ortodontia com facilidade e conforto para os nossos pacientes.
Os aparelhos estéticos da cor dos dentes são uma alternativa quando a ideia é camuflar um pouco o tratamento de ortodontia, pois este tipo de aparelho dentário é menos evidente. Dependendo do caso clínico em questão e se este o permitir, o paciente poderá optar por usar este tipo de aparelho dentário mais estético.
Os alinhadores dentários: são um tipo de aparelho em alternativa aos aparelhos convencionais.
- São personalizados, discretos e produzidos a partir de um termoplástico transparente, semi-flexível.
- Exercem forças para corrigir de forma gradual e controlada a posição dentária.
- Cada conjunto de alinhadores dentários é especificamente produzido e adaptado à estrutura dentária de cada paciente e ao plano de tratamento definido.
Voltar às Faqs | Voltar ao topo
A colocação do aparelho dentário exige um estudo prévio e exames médicos, ambos imprescindíveis para um tratamento ortodôntico adequado. Portanto, o preço para colocação de um aparelho dentário não se refere ao valor único do aparelho ortodôntico, mas sim a todo tratamento ortodôntico necessário.
Quando se inicia um tratamento de ortodontia é elaborado um consentimento autorizado, onde consta toda a informação relativa ao tratamento bem como o respetivo preço.
O paciente paga inicialmente o estudo e a colocação do aparelho dentário fixo de Ortodontia.
Depois, apenas paga as consultas de ortodontia mensais, até terminar o tratamento. Após terminar o tratamento ortodôntico, recomenda-se o uso de um aparelho dentário de contenção, e as consultas de rotina de 6 em 6 meses.
Voltar às Faqs | Voltar ao topo
O tratamento ortodôntico nas crianças, com dentição decídua (dentes de leite), é muito importante para corrigir ou redirecionar o crescimento ósseo dos maxilares, permitindo a correta erupção dos dentes da dentição definitiva e uma melhor oclusão (engrenamento dentário).
![]() |
![]() |
![]() |
A disjunção maxilar e a expansão alveolar na criança, são dois bons exemplos, de como a Ortodontia pode intervir para tratar ou minorar um problema, que mais tarde seria bem mais difícil de resolver de forma não cirúrgica. Neste caso, a função corretiva e preventiva do aparelho dentário, contribui igualmente para a diminuição do tempo de um previsível tratamento ortodôntico futuro, quando terminada a erupção da dentição definitiva.
Voltar às Faqs | Voltar ao topo
Atualmente, o uso de aparelho dentário recorre a técnicas que tornam o tratamento ortodôntico mais rápido e cómodo, recorrendo cada vez menos a extrações dentárias ou a aparelhos dentários intraorais complexos e desconfortáveis utilizados para movimentar os dentes (como acontecia no passado).
A utilização de microimplantes num aparelho dentário, acelera vários tipos de movimentos dos dentes, que de outra forma eram mais demorados. Exemplos disso são a mesialização e a intrusão dos molares, que são sempre movimentos muito lentos e difíceis sem microimplantes.
Estas técnicas atuais permitiram o surgimento de novos e vários tipos de tratamentos ortodônticos, para tratar desde os casos mais simples ao mais complexos. Nomeadamente, no estudo da face do paciente, e em especial o seu terço inferior, os lábios e o nariz.
A face dos pacientes, em particular o seu terço inferior, assume uma maior importância, quando comparada com o tratamento ortodôntico utilizado no passado. E é por isso necessário recorrer ao tratamento ortodôntico que melhor beneficie o perfil e o rosto do paciente, tornando-o mais harmonioso e simétrico.
Voltar às Faqs | Voltar ao topo
O tratamento ortodôntico é progressivo e poderá causar algum desconforto nos dias seguintes à colocação aparelho dentário mas não provoca dor.
Voltar às Faqs | Voltar ao topo
Colocar aparelho dentário implica uma alteração dos hábitos de higiene oral.
Os aparelhos dentários dificultam o acesso direto aos dentes, motivo pelo qual é necessário recorrer a escovas próprias (ortodontia), escovilhões e produtos específicos, recomendados pelos nossos dentistas. É igualmente recomendado que se façam, de 3 em 3 meses, destartarizações e fotografias para controlo do tratamento.
Os nossos ortodontistas dão sempre orientação e conselhos para uma correta higiene oral de quem usa aparelho dentário. Assim, poderá manter a sua boca saudável e bonita.
Voltar às Faqs | Voltar ao topo
Voltar às Faqs | Voltar ao topo
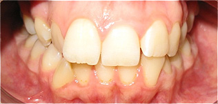
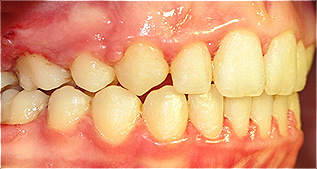
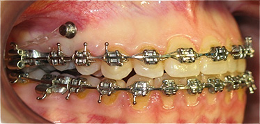
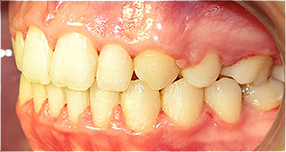
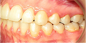
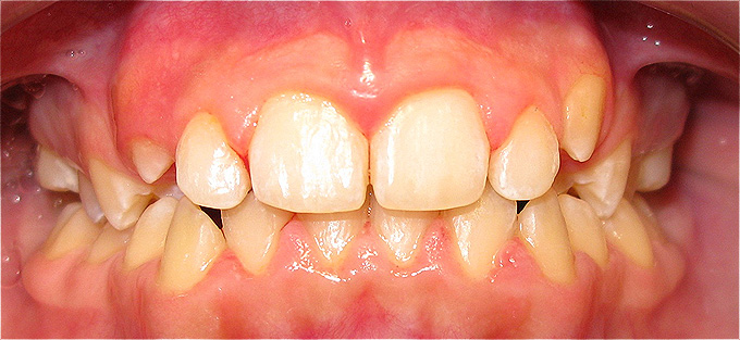
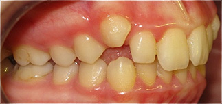
Apinhamento dentário severo e ausência do dente canino (dente 23).
![]() |
![]() |
![]() |
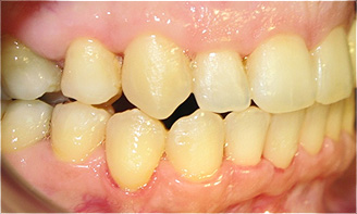
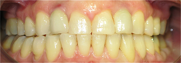
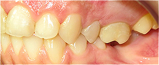
Após o tratamento ortodôntico e colocação de prótese fixa de cerâmica, para colocação do dente canino.
![]() |
![]() |
![]() |
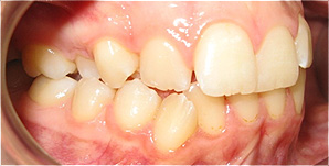
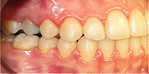
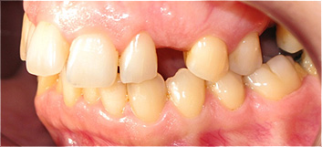
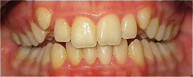
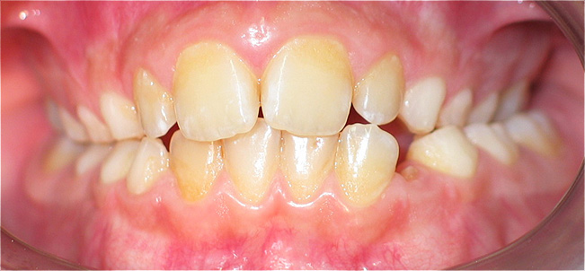
Mordida cruzada anterior e diversas ausências dentárias.
![]() |
![]() |
![]() |
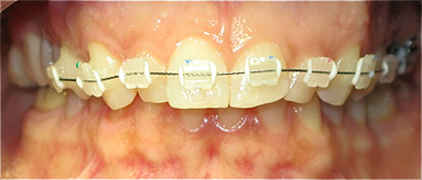
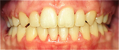
Correção da mordida cruzada anterior, com microimplante, após 6 meses de tratamento.
![]() |
![]() |
![]() |
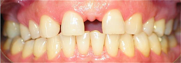
Dente canino não erupcionado e apinhamento dentário.
![]() |
![]() |
Criação de espaço para tração do dente canino, após 6 meses de tratamento.
![]() |
![]() |
Apinhamento dentário com os dentes caninos em desoclusão (classe II, divisão 2).
![]() |
![]() |
![]() |
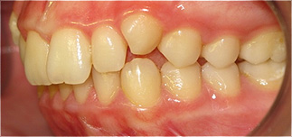
Após dois anos de tratamento ortodôntico.
![]() |
![]() |
![]() |
![]() |
![]() |
![]() |
![]() |
![]() |
![]() |
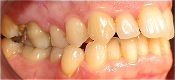
Extrusão acentuada dos molares superiores do lado esquerdo e ausência dos molares inferiores.
![]() |
![]() |
![]() |
Durante o tratamento, com prótese acrílica inferior.
![]() |
![]() |
![]() |
Costa de Caparica: 212 900 174 / 212 911 063 / 914 589 032
Sobreda da Caparica: 212 954 064
Email: saofilinto@hotmail.com
Ortodontia - Clínica São FilintoVeja como um aparelho dentário devolve saúde e (...)
saber maisTudo o que precisa de saber sobre implantes dentários! Tratamentos e casos clínicos de implantes dentários na nossa clínica.
saber maisSe vive no estrangeiro e procura dentistas em Portugal, chegou ao local certo!
saber mais